|
Dr. med. vet. Christiane Haupt:
Veterinary Help
for Common Swifts
How can I tell that the
Swift I have found is in bad shape?

A bird that has had an
accident in shock: ruffled feathers, closed eyes. Photo: C. Haupt
Possible symptoms:
-
Ruffled feathers, closed eyes, curved back
-
Bird is shaking, feels cold
-
In panic bird digs its claws painfully tight into
your hand
-
Complete weight loss.
-
Injuries (wounds, blood, hanging wing, twisted
limbs or similar)
-
Bleeding from its beak, nose or ear
-
Throat white or grey instead of pink
-
Twitching, cramps
-
Difficulty in breathing, breathing noises, open
beak
-
Screaming, sounds of distress
No Common Swift will be
found on the ground without a reason! Never just throw the bird up
into the air! A thorough examination of the foundling, is necessary
to find out exactly why the animal was grounded and in order to give
sensible and purposeful help.
Broken bones and torn
ligaments
a) Wings
If your foundling has a
broken or dislocated wing, the prognosis is poor. Swifts are
high-performance flyers and healthy flying equipment is vital.
During the course of their life, which can last more than 20 years,
they fly approx. 200,000 km per year. Always remember, that a Swift
cannot make any compromises: it must either be able to fly in
perfect condition – or will die in a pitiful state.
However, don’t despair too
soon, if a wing is hanging down: there are favourable cases, which
can be treated. A vet, who is knowledgeable about birds, will take
an x-ray and assess the situation.

Conservative fixation with
figure-eight-bandage. Photo: C. Haupt

Scalped wound inflicted by
a cat: hopeless. Photo: C. Haupt

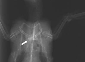
Patient after the
operation: Internal fixation of a broken radius with an
intramedullary pin (IM pin, arrow: nail exit). Photo: C. Haupt
b) Shoulder girdle

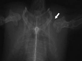
Asymmetric position of
wings with a dislocated shoulder: This Swift will never fly again
and must be put down. Photo: I. Polaschek
The most important bones
in the bird’s shoulder girdle are the filigree silver-fork bone and
the strong coracoid bone. If a Swift hits an obstacle at high speed,
these sort of fractures and torn ligaments occur quite often – and
they are always hopeless. Externally you can not see more than that
the Swift is unable to fly or only a short distance. Because these
fatal injuries are not so obvious as e.g. a broken wing, one can
hardly believe that the bird cannot be saved.

Internal fixation with IM
pins of ulna and radius. Drawing C. Haupt
c) Leg
Young Common Swifts often
break their legs when they fall from their nests or when the Swift
gets caught in a thread at its nesting site and tries in vain to
break free. Unfortunately, it happens now and again that such a bird
hangs helplessly on the roof under its nesting site, and without
attentive neighbours and a willing fire service is sentenced to an
agonizing death that can last for days. But if its lucky enough to
be saved, you’ll often be dealing with an extremely swollen, twisted
or even numb foot. As a rule, a broken leg heals without any
complications if it is immobilised with a small bandage around its
body, and a slightly crooked positioning does not impair the bird.
If you are dealing with a complicated leg fracture, a foot, which is
only hanging on by tendons and skin or with a dead limb, the vet
should amputate. It has been proven that Swifts can live without any
problems with one leg only and can even breed.
d) Beak
Fractures of the lower
beak almost always occur through feeding, which is not careful
enough or too rough: frequently the fingernail is only placed at the
tip of the beak and the beak is bent downwards, which almost always
breaks the fine bone. This fracture is unnecessary and avoidable and
may lead to severe deformations! Often the upper and lower beak do
not fit properly over each other; uncontrolled horn growth may be
the result. In the worst case it leads to a loss of parts of the
beak’s horn sheath or even to the tip of the beak breaking off – a
death sentence!
A broken beak requires the
utmost gentleness and care during feeding. A fixation by the vet as
soon as possible is advisable.

Fixation of a lower jaw
fracture with a bit of quill: C. Haupt
Advice for the vet
To fixate an uncomplicated
mandibular fracture, a small piece of quill can be used as a splint,
e.g. from a pigeon feather, which is cut open lengthways, pushed
over the broken part like a slide, if required and then left for a
few days. The stability achieved in this way is satisfactory. There
were no irritations of the mucous membrane of the pharynx in the
area of the splint for the cases under observation, but this should
be closely monitored.
|

Normal anatomy of
the skeleton of a fully-grown Common Swift (shoulder girdle
and wing): 1) Clavicula, 2) Coracoid,
3) Scapula, 4)
Humerus, 5) Radius, 6) Ulna, 7) Carpometacarpus, 8) Phalanx
digiti alulae,
9) Phalanx
proximalis and 10) Phalanx distalis digiti maioris |
|

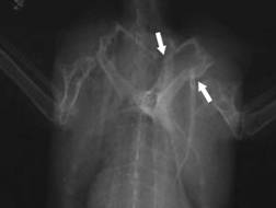
Torn ligament
between humerus and shoulder joint. Observe the dislocation
of the left humerus head of the shoulder joint |

Fracture of the
clavicula and the coracoid: multiple
fractures happen
frequently during flying onto
something
|
|

Elbow luxation in
the mediolateral radiation duct: completely torn off
ligament |

Elbow luxation in
the caudocranial radiation duct |
|

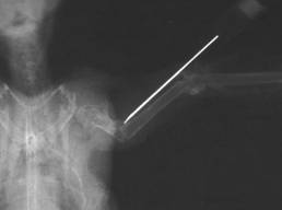
Radius fracture,
dislocated |

Radius fracture
after intramedullary pinning with a 0.4 mm
cannula |
|

Wrist luxation: in
the mediolateral radiation duct
there seems to be
only slight damage, which could be overlooked |

Wrist luxation:
the extent of the damage can only be
seen with the
caudocranial radiation duct |
|

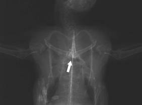
The fatal luxatio
art. sternocoracoidea is not easily recognisable in the
normal ventrodorsal x-ray. When the wing is stretched, the
connected separation coracoid-sternum is hardly noticeable |

Luxatio art.
sternocoracoidea: not until the provocation x-ray (pushing
together of the wings to the median) is the shift of the
coracoid across the middle line visible
|
Advice for the vet
Due to the way of life and
high specialisation of this kind of, it should be clarified in
advance, whether and - if yes, how – the damage to its flying system
can be repaired and at the same time its ability to be reintroduced
into the wild can be ensured. The following experiences have so far
been listed:
|
|
Conservative
care of fracture |
Surgical
care of fracture |
|
|
Shoulder luxation |
not possible |
not possible |
hopeless:
euthanasia |
|
Humerus fracture |
not possible |
not possible |
hopeless:
euthanasia |
|
Elbow luxation |
not possible |
not possible |
hopeless:
Euthanasia |
|
Radius fracture |
- box rest,
possibly figure-eight-bandage
- only if not
dislocated
- often
unsatisfactory due to dislocation |
internal fixation,
leave IM pin for 10 days |
afterwards
physiotherapy |
|
Ulna fracture |
-
figure-eight-bandage
- only if not
dislocated |
possible internal fixation, leave IM pins for 10 - 12 days, combined with figure-eight-bandage, but mostly hard complications - not avisable! |
afterwards long lasting physiotherapy |
|
Radioulna fracture |
not possible |
internal fixation,
leave IM pins for 10 - 12 days, combined with
figure-eight-bandage |
afterwards
physiotherapy |
|
Wrist luxation |
not possible |
not possible |
hopeless:
euthanasia |
|
Hand fracture |
-
figure-eight-bandage
- only if not
dislocated
- dislocation
usually unavoidable = unable to fly |
possibly
intramedullar fixation without inclusion of the proximal and
distal joint; not enough experience yet |
afterwards
longtime
physiotherapy
|
|
Luxation of the
digiti |
not possible |
not possible |
hopeless:
euthanasia |
|
Fracture of the
digiti |
conservative
fixation with little bandage |
not possible |
afterwards
physiotherapy |
|
Clavicula fracture |
not possible |
not possible |
hopeless:
euthanasia |
|
Coracoid fracture |
not possible |
not possible
without a massive muscular trauma |
hopeless:
euthanasia |
|
Scapula fracture |
- immobilisation
- massive callus
formation can lead to the bird being unable to fly |
not possible |
if necessary
euthanasia |
|
Luxatio art.
sternocoracoidea |
not possible |
not possible |
hopeless:
euthanasia |
A conservative fixation
should only be carried out on one side and material be used, which
does definitely not damage the feathers, self-adherent bandages seem
the most suitable. An intact plumage is as vital for an aerial flyer
as an undamaged skeleton! The figure-eight-bandage has proven its
worth (see drawing). After removing the bandage, the bird should be
trained for a few days, in order to strengthen its muscles. For this
purpose it can be left to climb every day, fluttering his wings, or
encouraged to do some exercises on the ground. Letting it fly across
the room is not advisable, as a Swift reaches high speeds at even
short distances, and could too easily injure itself.

The wing is placed in a
physiological position. The pressure-sensitive stretched skin of the
wing (arrow) must be carefully padded. Drawing: C. Haupt

An elastic bandage is
applied from ventral to dorsal around the humerus, then across the
shoulder joint and around the carpus. Drawing: C. Haupt

The bandage is placed
dorsally across the wing, pulled as a figure-eight-bandage ventrally
again and along under the humerus. Drawing: C. Haupt
As far as possible, the
surgical care of the fracture is definitely given the priority where
the Swift is concerned. Internal fixation has proven itself to be
successful in many cases, can be carried out fast and easily and is
least awkward to the patient during convalescence. The plumage must
on no account be damaged during the operation. After the IM pin has
been removed, it will be necessary to have a few days of
physiotherapy.
The relatively frequent
radius fracture, which, if not treated, can lead to limited flight
ability, is pinned by using a 0.4 mm cannula, which is inserted into
the distal end of the fracture, exits through the radius head which
is palpable at the shoulder joint and is retrogradely pushed into
the proximal end of the fracture as far as just in front of the
elbow joint. The pin coming out at the shoulder joint is released 1
- 2 mm over the skin, and is protected with a small adhesive strip,
so that the patient is unable to pull it out.
The ulna is pinned in the
opposite direction; here the pin exits, being bent at a maximum, at
the proximal end of the ulna just underneath the elbow joint. A 0.5
mm cannula or drill wire can be used. Caution: the ellbow joint may
stiffen! For the radius the medial, for the ulna the dorsal access
has proven successful.
A defect in the shoulder
girdle can be diagnosed by the bird’s inability to fly or only in a
restricted way, an incongruent movement of wings, or the shoulder
concerned hanging down, as well as the inability of the Swift to
turn round on its own accord when you try and put it on its back. An
x-ray is essential in order to exclude the possibility of bruising.
An exact positioning is indispensable for an impeccable picture of
the shoulder girdle area. If necessary, sedating the patient may be
advisable.
The shoulder girdle
defects occurring most frequently are fractures of the clavicula and
the coracoid as well as the luxatio articulatio humeri (shoulder
luxation), which clinically shows itself in the same way and can be
clearly diagnosed in the x-ray: the very often significant
dislocation of the upper arm as well as the clearly enlarged
distance between the humerus head and shoulder joint of the side
concerned are visible. It is harder to diagnose luxatio art.
sternocoracoidea, which is not so infrequent: the sinewy attachment
of the coracoid to the breastbone is torn off with a dislocation
beyond the median. This defect can easily be overlooked on the x-ray
and requires a trained eye.
Bruising
Bruising, especially of
the shoulder occurs frequently among Swifts, and manifests itself
clinically in a similar way to a fracture or torn ligament in the
shoulder girdle, although the shoulder looks symmetrical. If the
Common Swift does not stretch a wing, but protects it or presses it
tightly to its body, it is essential to take an x-ray. Because
bruising, although extremely painful, can be healed! Usually the
swift already starts to carefully move the wing after a few days.
Afterwards, a continuous improvement can be observed, and at the end
of approx. 10 to 14 days you can carefully begin physiotherapy.
Experience shows that at the end of three to four weeks the bird has
completely regained its ability to fly.
Antibiotics
a) Cephalosporine (Cefotaxim
p.e., “Claforan 0,5”) 100 mg/kg body weight i.m. or s.c. SID-BID 5-7
d. Good when the bird has been bitten by cat.
b) Enrofloxacin („Baytril“
0.5 % oral solution) 10 mg/kg body weight p.o. BID 5-10 days; for
Staph. and E. coli partially resistant, therefore, if required,
combination with
c) Amoxicillin/Clavulanacid
(„Augmentan-drops“) 150 mg/kg bodyweight p.o. SID over 5-10 days
Never give any antibiotics
without giving simultaneously prophylactic antimycotics (Itrakonazol)!
Injuries
If the wounds have been
inflicted by a cat, it must be given an antibiotic as soon as
possible, and every hour counts: in general, untreated cat bites
result in death within a very short time. Through the cat’s saliva
pasteurella, can be transmitted into the bird’s bloodstream, causing
its death from sepsis.
Eye injuries usually have
a bad prognosis. Please give analgesic drugs immediately, Meloxicam
p.e. Under extreme swelling, bloody crusts etc. there is
unfortunately usually an eye that has been destroyed. A Common Swift
cannot live with one eye only, as it then lacks its spatial sight
and is unable to catch food. Bleeding from the nose or beak often
occur after the bird has flown against something; in this case
emergency treatment by the vet is required. Bleeding from the ear is
typical for a basal skull fracture; there is nothing left but
euthanasia.
Medication:
Amynin / Ringer-Lactat
1:1, 1 ml body warm s.c. (wrinkle of the knee)
Naphthionacid ("Hemoscon")
100 mg/kg i.m.
Traumeel injection
solution drop by drop p.o. (also after an operation, after hitting
an obstacle, against bruising; 1 drop BID - TID)
Meloxicam ("Metacam-Suspension")
1 drop BID a couple of days
Sedation:
Diazepam (4-6 mg/kg KGW
i.m.)
Anaesthetic:
Inhalation narcosis
Isofluran (introduction 3-4 min. 2.5-5% Isofluran + 1-2 l/min. O2,
maintenance 0.5-2 % Isofluran + 0.5-1 l/Min. O2)
or
Injection narcosis with
Diazepam (4-6 mg/kg body weight) and Ketaminhydrochloride (60 mg/kg
body weight) i.m. in two different injections (both in
one injection will cause muscle necrosis); if required,
administer further with Ketamin (40-50 mg/kg bodyweight). With
excitation administer further with Diazepam (5 mg/kg KGW).
In painful treatment,
always give analgesics!
Euthanasia:
(Before euthanasia give an anaesthetic first!)
Ketaminhydrochloride
(„Hostaket“, „Ketanest“)
250 mg/kg KGW s.c., then
0.05 – 0.1 ml "T 61" i.v. or i.c.
Damage to large feathers
Repeatedly Common Swifts
are found by humans as a result of damage to their feathers,
probably caused by accidents: with snapped, broken off feathers or
feathers missing for unknown reasons. Such damage is usually only
limited to one wing (in contrast to feather defects which are the
result of a genetic fault or a wrong diet, which usually occur
symmetrically).

Tragically, this also
happens: a young Common Swift, whose primary feathers were
maliciously cut off from both wings. He was saved through imping!
Photo: C. Haupt
The decision, what to do
with such a poor bird, is not easy. It is possible to carefully pull
the damaged primary feathers under general anaesthesia. However, the
quills of the large hand primary feathers are anchored extemely
tight – up to the forearm bone! -, and there is a great risk, even
if removed by an expert, of causing severe injury. Often new
feathers do not re-grow or are deformed. Even in the most favourable
case, it will be seven to eight weeks before the new primary
feathers have completely grown back.
The method used in
falconry of imping, i.e. placing undamaged feathers onto the
quills of the damaged ones, can come to the rescue of such cases of
birds, but it is not a routine operation for Common Swifts.
Dehydration and
Malnutrition

Examine the animal’s
breast: if the bone (breastbone) projects sharply, almost like the
keel of a ship, the bird has become extremely thin. In that case,
drip a few drops of a glucose solution (10 g glucose in 100 ml
lukewarm water) with a pipette or plastic syringe (of course,
without the needle) every 15-20 minutes into the beak, without
smearing the bird with the sticky solution. The bird must not be
lying on its back, it could choke and suffocate.
It is essential that the
bird is kept warm (approx. 32°-35° C).The most suitable is warmth
from below.
If the Swift has become
extremely thin, there is a risk that it will not even take liquids,
let alone solid food. The circulation of such a bird is usually
seriously malfunctioning, as is its digestion. As a rule, this
applies to young Swifts, which only weigh just above 20 g or even
less. They are acute emergencies. According to the latest
experience, many of these starving birds can be saved through a
vet’s infusion, which should be repeated after 12 hours.
(Amynin / Ringer-Lactat 1:1; 1 ml body warm s.c.)
These strengthening
remedies will get the circulation going again, you gain time, in
order to carefully start feeding the bird. The preparation „Pancreaon“,
which supports the digestive system, can be obtained from chemist
stores and has proven itself in such cases: 3-4 times per day you
mash 1-2 small balls, dab the powder with a bit of food and
adminster it to the patient until the bird’s condition is stable and
it gains sufficient weight.
When the Common Swift
starts improving, you feed it a few small crickets approx. every
half hour – preferably at first only the soft back parts – (or if
you have them, the somewhat firmer yellowish drones), and watch,
whether the bird produces excrement. This is extremely important!
Although severely undernourished, young Swifts often devour the food
ravenously, and would like to swallow their carer’s whole finger,
they are much too weak to digest the food. When a Swift is
desperately begging you for food, temptation is great to give it as
much as it wants. However, after a first improvement, this rapidly
leads to a critical overloading of the bird’s stomach, often
resulting in death. Weight increases of several grammes in only a
few hours are warning signs!
Regularly check by
carefully feeling with your fingers, whether the bird’s body is well
filled, yet is soft and yielding! A hard stomach, which bulges as
round as a ball means maximum alert (in this case, immediately stop
feeding, and preferably have the vet give the bird another infusion
with stengthening remedies).
It can take several days
to stabilise a young Common Swift who has lost so much weight.
During this time, the stomach may feel hard from time to time, even
if you feed very carefully, but if you strictly keep to giving the
bird small and easy to digest food quantities at short intervals,
the above-described emergency situation should not happen. Until the
patient is really on the mend, the breaks between feeding during the
night should not be longer than 4-5 hours. After that you can start
to feed normally, and get some well-deserved regular hours of sleep.
Flying against obstacles
Many birds that hit power
lines, cars, windows or similar are dead on the spot, so that they
cannot be helped. However, if the bird survives the impact, it is
necesssary to act quickly: the vet has to treat the bird against
shock as soon as possible.
"Convulsions"
Cramps and disfunctions of
the central nervous system can have very different causes.
Frequently they occur as a result of an accident, and sometimes the
Swift gets away with a concussion, is simply weak and dazed, but
recovers after a few days of rest and warmth. But if more serious
symptoms occur, such as convulsive seizures, spinning movements,
rolling over, stereotype head movements, the prognosis is doubtful.
Such patients should be taken to a vet with a good knowledge of
birds, as quickly as possible!

Convulsive seizures as a
result of a lack of vitamin B. Photo: C. Haupt
Frequently observed
convulsive fits, which can happen very sudden, rapidly progress and,
if left untreated, can lead to death, develop as a result of a lack
of B-complex vitamins. This, in particular, affects Swifts, who are
fed with meal-worms or crickets of inferior quality, as well as
those, who have to stay with humans beyond the time of their normal
rearing.
The symptoms start
imperceptibly with a reluctance to eat, a fixed stare and compulsive
head movements and intensify to throwing-its-head-right back, and to
uncontrolled convulsions and spinning movements. The vet can
immediately treat such a fit with an injection of Vitamin B-complex.
Administering vitamin B into the beak has been mostly ineffective
when treating Common Swifts. Preventive feeding does not always
avert these deficiency symptoms, either.
Parasites
Often Common Swifts are
stricken by featherlings, mites and especially the bloodsucking
Swift louse fly (crataerina pallida). These so-called ectoparasites
sometimes appear in such large numbers that they can become life-threathening
to a weakened young Swift. The Swift louse fly is not unsimilar to a
housefly, but it has atrophied wings and has suction feet, with
which it also attaches itself to human skin. It likes to jump onto
humans and owing to its hard shell can hardly be squashed with our
fingers.
A Common Swift’s
ectoparasites are not dangerous to humans, unpleasant at the most.
You can sprinkle a tiny amount of insect powder, which is suitable
for birds, (e.g. „Bolfo Powder“) and which you will get in any
specialist pet shop, on the bird’s neck feathers and distribute it.

Swift louse fly, approx.
as big as a housefly. Photo: U.Tigges
Common Swifts quite often
have endoparasites. There have been several proven cases of
tapeworm, which live as a parasite in the Swift’s intestines, and,
under specific circumstances, can lead to the death of the bird. You
can even recognise such worms in the excrements with the naked eye;
they are tiny and move. Hairworms are rarer; its eggs, too, can be
detected when the excrements are examined.
Cestodes and nematodes
have been detected in Common Swifts. Especially old birds are often
affected. Experience shows that exremely thin Swifts are suspected
of having tapeworms, which after one or two days of continuous
initial improvement in their condition, no longer gain weight,
suddenly reject their food and show a rapid deterioration in their
general state of health. Immediately administering Praziquantel („Droncit“
10 mg/kg bodyweight p.o. or 5–10 mg/kg bodyweight i.m., repeat after
ten days) has helped in many cases. During flotation tapeworms are
not detected, and sedimentation does not always say much either! Due
to the extremely progressive clinical picture of the cestodes
infestation a prophylactic therapy might be advisable, if necessary.
Occasionally, Swifts that were wrongly fed with earthworms for a
short while, were subsequently affected by windpipe worms. Dyspnoe
and breathing noises are clinical symptoms for such an infestation.
Fenbendazol („Panacur-suspension 2.5 %“, 25 mg/kg bodyweight p.o.
SID 3 days, repeat after 10 days) has proven itself effective
against syngamus, ascarides and capillaries.
Diseases
Only little is known about
infectuous diseases among Common Swifts. Non-specific evidence would
be e.g. apathy, difficulty in breathing, paralysis, ruffled
feathers, bent up back, conspicuouly pale, yellowish or bluish
mucous membranes, stratifications in the throat, smeared plumage
under the tail, foul-smelling excrements.....
The diseases of Common
Swifts, which have so far been observed by the writer could almost
exclusively be traced back to mistakes made by people whilst keeping
and feeding the bird, and manifested themselves as severe dyspepsia,
and damage to liver, kidneys, skeleton and plumage.
A lack of hygiene during
feeding can also lead to a number of very persistent bacterial
infections and mycoses. They can be made more difficult through the
wrong diet, deficiencies and a weakened immune system, and usually
manifest themselves in the area of the throat and in the respiratory
tract.
Clinically dominant are
changes in the throat (whitish or brownish spots, coating or crusts,
mucous threads, sweet smell etc.), breathing noises or difficulty in
breathing.
The throat area of Common
Swifts, which have never been cared for by humans, is usually
sterile. „Pre-treated“ Swifts, however, often show a wide spectrum
of germs which are facultatively pathogenic, among others
pseudomonas spp., proteus, E coli, Klebsiella, ß-haemolysing
streptococcus, staphylococcus aureus. Frequently these germs appear
together with candida albicans. The Swift’s candidiose responds well
to Flukonazol, although this has a hepatotoxic effect, so that
treatment with Nystatin (works locally, must have contact with the
yeast) is a preference.
There is a strong
proneness to an aspergillosis of the respiratory tract when treated
with antibiotics, as well as with a weakened immune system. If the
infection has not progressed too far, therapy with Ketokonazol is
possible.
The bacterial and
mycological examination of a throat swab as well as an antibiotic
spectrum are essential for successful treatment, as a resistance
against common antibiotics can be increasingly observed among wild
birds.
Antimycotics:
• Nystatin (e.g. „Candio
Hermal“) 3 ml/kg bodyweight p.o. BID-TID over 10 days
(the best against Candida)
• Itrakonazol (e.g. “Itrafungol”,
“Sempera”) 10 mg/kg bodyweight p.o. SID over 10-14 days (the best
against
Aspergillus)
First Aid
The same basic rules apply
to a bird that has an accident as to a mammal: secure vital
functions – stop bleeding – treat for shock!
For Common Swifts with commotio cerebri after hitting an obstacle,
the following, already described on page 3, has proven itself
effective: immediately administer a lactated Ringer’s solution
subcutaneously to a volume substitution, as well as corticosteroids
i.m., antibiotics and a vitamin-B-complex s.c. Medicine to stimulate
circulation and breathing can be helpful. The patient needs strict
rest and warmth. The prognosis when birds have flown into an
obstacle should always be cautiously made. Internal injuries such as
cerebral haemorrhage, skull fractures, spinal injuries and similar
injuries mostly lead to death or result in paralysis (e.g. limp
legs, completely paralysed claws, lack of excrements) and severe
central nervous malfunctions, which in the end require euthanasia.
Circulation and breathing
stimulation:
• g-Strophantin p.o. a
drop at a time after effect. Cave cardiac hypertrophy when given
overdosage, esp. in small birds.
• Etilefrin „Effortil“
0.2-1 mg/kg body weight i.m. or a drop at a time p.o.
• Dimethylbutyramid „Respirot“
p.o. a drop at a time after effect.
Peripheral breathing
stimulant.
• Doxapram „Dopram V“ 10
mg/kg body weight i.m. or a drop at a time p.o. central breathing
stimulant
Damage caused by the wrong
diet
The experience gained by
looking after Swifts have lead to alarming new findings. Especially
dietary mistakes and their fatal consequences take first place here.
Whilst insect-eating songbirds (e.g. swallows, redstarts, robins,
warblers, wrens...) die very soon when given the wrong food, a Swift
will react, as a rule, with damages that are delayed yet have the
same bad consequences. Liver damage and then plumage defects, which
are frequently observed, seem to be the prime consequences for
Swifts on the wrong diet. Defect primary feathers, however, are a
death sentence for an aerial bird. Usually young Common Swifts very
soon start losing their primary feathers or show damage to the
quills, even if they have only been given the wrong food for a short
time. They also frequently get diarrhoea, very poor digestion, as
well as deformations of the skeleton.
Disastrously, a lot of
animal food, which has meanwhile proven to be extremely harmful, has
been common in feeding young wild birds, and is still being
recommended by many experts. We can only hope that many „traditional
errors“ are soon replaced by a feeding method, which is orientated
towards nature and therefore suitable for the species. That is the
only way we can begin to do justice to the various demands on food
that feathered foundlings of different kinds of species have and for
which there is no „universal recipe“.
So which kind of animal
food should we steer clear of and what kind of damage does it do?
Minced meat
The probably oldest and
most widely spread incorrect information is to feed Common Swifts
with minced meat. Anybody who really thinks about it, who knows
something about the way of life and feeding habits of a Swift or
only watches these birds in the wild, should come to the conclusion
that they most certainly do not catch pigs or cows in order to eat
them. Their organism is not equipped for eating meat, and certainly
not pure or even seasoned meat. It is incomprehensible why this
feeding advice, which is not logical at all, has managed to persist
all this time. Perhaps, because it is so easy for the carer. A
further reason may be that the fatal consequences usually show
themselves somewhat delayed. The loss of primary feathers, which
occurred in almost all Swifts that had only been fed with minced
meat, does not happen before 8-10 days after switching over to
insects. That would be the time, when the young Swift, having gained
its strength to fly, would already be up in the air. In many cases
it never gets that far, because further consequences of feeding
minced meat are a lack of calcium in the skeleton and deformed
bones, extremely poor digestion, diarrhoea, enlargement of the liver
and other deficiencies.
The feather malfunctions
range from loss of single feathers, various defects of the vanes (vexillum),
calamus and dull, frayed feathers to decreased growth and total loss
of the large primary feathers. The tail feathers usually show
structural damage and are inadequately developed.

Extreme damage to plumage
after feeding a mixture of minced meat and „rearing food“ for a
fortnight. Photo: C. Haupt
As already mentioned
above, there seems to be no detectable damage when meat is used as a
very small part, merely serving the purpose of improving the bonding
capacity, of a food mixture otherwise consisting of high quality
insect food.

Below: two young Common
Swifts, who have lost almost all their primary feathers after being
fed meat. Photo: C. Haupt
Mealworms
Still a preferred kind of
food for birds feeding on insects are „mealworms“, a term for the
larvae of the meal beetle (tenebrio molitor), which you can buy in
any pet shop.
But I must warn you not to
feed these worms in large numbers and over an extended period
(longer than 2-3 days). They seem to contain substances in their
chitin shell, which in the long run caues severe liver and kidney
intoxications. Feeding mealworms is also much too unbalanced and
leads to deficiences and skeleton damage. Especially frequent is an
undersupply with the vitamin B-complex. This has an effect on the
central nervous system, which imperceptibly starts with food
rejection and compulsive movements, intensify within the shortest
time to serious catalepsies (tumbling over, twisting head, spinning
movements), and, if untreated, lead to nerve damage, which cannot be
reversed, and ultimately to death. There is also almost always
plumage damage, probably also secondary through liver damage. Mostly
the calamus sticks to the quills, and when removed the vane
underneath is not properly developed.

Damage to the vane and
calamus after feeding with mealworms. Photo: C. Haupt
When fed exclusively on
mealworms songbirds were also found to develop persistant eye
infections which could lead to loss of sight as well as ulcers in
the head area, inflammatory swellings of their feet, especially the
joints, and abscesses.
Mealworms – but only the
delicate white ones, which have just shed their skin – may be given
as an addition in very small numbers (i.e. not more than 4-5 per
day) to insect-eating birds, or as emergency food for a short time,
for two or three days, if you cannot get hold of crickets straight
away.
Maggots
Fly maggots, available as
„pinkies“ in angling shops, are completely unsuitable as food for
insect-eaters. Owing to their solid rubber-like covering, the bird’s
stomach is unable to break them down, so that they are mostly
excreted undigested. Even if you prick them before feeding them to
the bird, they are not acceptable, as their proportion of fat is
very high and they constitute a highly unbalanced diet. Swifts that
were fed with maggots, are mostly extremely thin and develop
deficiencies as well as fateful defects in their plumage. These are
frequently small, hardly visible brittle parts in the quills, where
the primary feather then breaks under the slightest strain.

Snapped off feathers after
the bird was fed with maggots for two weeks. Photo: C. Haupt
Bird food

Result of rearing the bird
with bird food. Photo: C. Haupt
Food mixtures that contain
insects, are offered under various names, but if you study the
ingredients of such mixtures, you will inevitably find bakery
products, which are unsuitable for the digestive system of sensitive
insect-eaters. When „grease food“ was mixed with water and fed, we
repeatedly noticed breaks in all large primary feathers. Such Swifts
were not able to fly. Only pure insect pellets (preferably from „aleckwa“,
or perhaps also „Claus“ – type IV blue) should be used.
Earthworms
Young Common Swifts are
quite often fed on earthworms. But earthworms are not among the
range of prey the Swift hunts for in the air and will soon cause
extremely poor digestion. It is even worse, however, that they are
host to certain parasites. Even through one earthworm a Swift can be
infected with the eggs of windpipe worms and become ill a few days
later.
Tinned cat or dog food
Common Swifts that are fed
on cat or dog food, are usually totally smeared, sticky and
encrusted, smell miserably and suffer from extremely poor digestion.
Afterwards their plumage remains tangled and dull and therefore does
not have enough insulating property. The unidentifiable ingredients
of tinned cat and dog food are definitely not suitable for the
digestive system of insect-eaters and can damage it to such an
extent that the birds die or must be put down. I must therefore
definitely advise against feeding this sort of food, which is often
used in animal shelters.

Young Common Swift having
suffered a painful death after having been fed with canary seed for
five weeks. Photo: C. Haupt
Other food
There is nothing that
hasn’t been fed to hungry young Swifts in good faith, but always
with the worst consequences: whether budgy or canary seeds, rusk,
oats or bread, fruit or sausages, spaghetti, porridge, salami or
fried steak – it has all happened and hardly any of the poor things
have survived. I could go on talking about unsuitable food for
Swifts, but to make it short: only insect food should go down their
beaks!
Damage caused by the wrong
surroundings
The best and most suitable
food is in vain if the Swift ruins his plumage for other reasons.
This is regularly the case when this special bird is kept in a
birdcage. Of course it seems plausible to think of a birdcage when
you suddenly have to accommodate a little bird. Unfortunately, that
has fatal consequences for a Swift. It will always hurt its primary
feathers and its tail on the bars, so that it is no longer able to
fly later on. Therefore never keep a Swift „behind bars“ or in any
other container with rough walls, which may damage its feathers!
Other mistakes made when
keeping Common Swifts
The feathers can also be
badly damaged, sometimes irreparably, if the container for the Swift
is too small or tight or is not kept impeccably clean. Bent and
snapped primary and tail feathers, crusted feathers smeared with
excrements, bald patches and bruises should and must not occur!
|